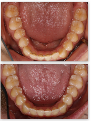
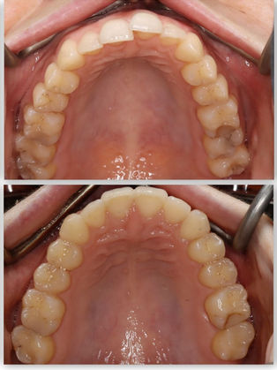
Straight teeth do much more than give you an attractive smile – they are also great for your oral health!
Potential functional problems with misaligned teeth:
-
Harder to clean leading to increased tartar, bleeding gums and bone loss
-
Easier to get tooth decay
-
High risk of gum recession and sensitivity
-
They get in each others way! This leads to increased wear and tear on your teeth leading to chipping and cracks
Patients often think orthodontic treatment is only for children but that is just not true! Modern technology using Clear aligners is gaining popularity because it is discrete, fast, and effective. It is perfect for the adult patient who wants straight healthy teeth and designed to fit your lifestyle. If you want healthy teeth that will last you a lifetime, consider a conversation with our dentists to see how SureSmile Aligners can help you achieve that. It is the ultimate preventive treatment and can save you time, money and unwanted visits to the dentist in the future.

How SureSmile clear aligner therapy works
In order to know where your teeth need to go, your dentist will spend time thoughtfully designing a Digital Diagnostic Tooth Setup encompassing the principles of an ideal bite (occlusion), gum health, skeletal proportions and space restrictions. We then order a series of custom-fabricated aligners designed apply a light pressure on your teeth and promotes tooth movement into their ideal position gradually. You will wear your aligners for 20 to 22 hours per day and switch them out for the next tray approximately every two weeks.

SureSmile Aligners are loved by patients and dentists alike because it is:
-
Effective: because the aligners are fabricated based on advanced computer technology, the aligners create precise movements while requiring fewer adjustments than traditional braces
-
Versatile: SureSmile is a great option for a wide variety of misalignment issues ranging from crowding, overbite, deep bites, spacing and more.
It can also be used to move teeth into ideal positions prior to major restorative work like crowns or veneers in order to minimize tooth reduction (this requires a more complex explanation….ask Dr. Luong for more details). -
Convenient: fewer checkups are needed than for traditional braces, and you can continue to enjoy your favorite foods without restrictions because the aligners are completely removable
-
Comfortable: made from proprietary Essix ACE plastic, SureSmile aligners are designed for comfort and do not have any metal wires or brackets to poke your mouth
How do I get started?
The first step towards getting the straight, healthy smile you’ve always wanted is to schedule your initial consultation. During your consultation, we will talk with you about your goals for your smile, evaluate your bite and tooth alignment, and establish if you are a good candidate for treatment in our care. We will have a conversation about the pros and cons of treatment, and any limitations that exist for your case. Once the decision is made to move forward, we take a digital scan of your mouth so that we can begin planning your treatment. After your digital tooth set up is complete, our dentists will review the and obtain input from you. Once we have your approval, the laboratory will begin fabricating your aligners based on our precise specifications. Once they are ready, you will pick up your aligners and then return for monthly checkup appointments until your treatment plan is complete. Overall, treatment typically takes between six months to one year, depending on the severity of your case. When your treatment is complete, we will give you a retainer to wear at night so you can maintain your terrific results.

To schedule your SureSmile consultation at Baywell Dental, call our Toronto, ON office today at (416) 961-6630!
A consult is complimentary for our existing patients.
For new patients, a consult is $150 and includes a full set of orthodontic photographs and a panorex radiograph.












