
CEREC
Single visit Crowns/Onlays
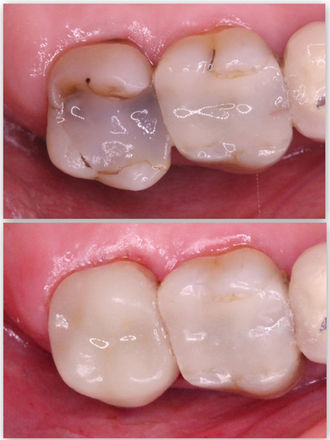
CEREC SINGLE VISIT CROWNS/ONLAYS
In keeping with our office philosophy of providing the most up to date technology to deliver high quality treatment, our team is proud to offer CEREC single visit crowns/onlays. With the aid of CAD-CAM technology, which stands for computer aided design/computer aided milling; we are able to scan, custom design, fabricate and deliver your new tooth in ONE appointment!
WHAT IS CEREC? CEREC IS AN ACRONYM…
-
Chairside: The technology is in the dental operatory and used while you are in the chair
-
Economical: The procedure is economical for both dentist and patient
-
Restorations: The procedure restores your tooth to its natural beauty, function, and strength
-
Esthetic: The restorations are metal-free and tooth-colored
-
Ceramic: High-strength ceramics are used that are close in composition to your natural tooth structure.
Having a cerec crown is beneficial for a number of reasons. In the hands of a skilled dentist, it is extremely accurate. We have found that a CEREC crown requires little to no adjustment prior to fitting in the mouth. Second, because it is a digital scan, it means that a CEREC crown does not require impression materials or trays - that means no goop in your mouth! Third, with a many different choices in materials and colour, we will select a tooth colour that mimics your tooth and looks natural. They are bonded to your tooth are made of the strongest dental materials available and will last you many years to come. Finally, CEREC crowns are CONVENIENT for you, the patient. Because a CEREC crown can be done in one appointment, you do not need to take time off work or school for a second insertion appointment - your crown will be inserted on the same day.
Dr. Luong will recommend a CEREC crown if she believes it is the right treatment for you. Feel free to check out the videos below. They show the CEREC process from start to finish.
CEREC STEP 1 - SCAN

CEREC STEP 2 - DESIGN

CEREC STEP 3- MILL

CEREC STEP 4 - INSERT













